齐岳提供纳米氧化铝Al2O3粉体表面修饰方法介绍
【产品介绍】:
纳米氧化铝是光学单晶、精细陶瓷、精密抛光材料、湿敏性传感器等的重要原料,广泛应用于材料、微电子及宇航工业等高科技领域,具有广阔的应用前景。
一、纳米氧化铝粉体表面修饰目的
纳米氧化铝粉体经表面改性后,其吸附、润湿、分散等一系列表面性质都将发生变化,有利于颗粒保存、运输及使用。
通过修饰纳米粒子表面,可以达到以下目的:
1、改善纳米氧化铝粉体的分散性,消除了粒子表面的带电效应,防止了团聚。同时,在粒子之间存在一个势垒,在合成烧结过程中颗粒也不易长大。
2、提高纳米氧化铝粉体粒子的表面活性,为纳米粒子的偶联、接枝创造了条件。
3、改善纳米氧化铝粉体粒子与分散介质之间的相容性,使之与分散介质达到良好的浸润状态。
二、纳米氧化铝粉体表面修饰方法
目前,根据修饰剂与纳米氧化铝粉体粒子表面的作用机理,可将纳米氧化铝的修饰方法分为表面物理修饰和表面化学修饰。
1、表面物理修饰
表面物理修饰一般是指利用修饰剂对纳米氧化铝粒子的物理作用,如利用范德华力的吸附、涂覆和包覆等,或指纯粹物理手段对纳米粉体实施表面改性的方法,如超声处理、光电子辐照处理以及热处理和等离子体处理。常见修饰方法有吸附、包覆、光辐射处理等。
(1)吸附
纳米氧化铝粒子在水溶液中分散性极差,易团聚。使用表面活性剂可以防止纳米粒子的团聚,使其分散更均匀。表面活性剂带有两个极性不同的集团,极性的亲水基团与水相溶,非极性的亲油基吸附到粒子的表面,这样在粒子表面活性剂向外伸展形成粒子束,阻止了颗粒间的相互接触,避免团聚的发生。

吸附方法示意图
(2)包覆
与吸附方法一样,包覆也是通过范德华力等将异质材料沉积在纳米氧化铝的表面,形成核层为纳米氧化铝,壳层为与氧化铝无化学结合的“核一壳”结构,防止粒子间的团聚,通常包覆量较吸附量更大些。

包覆方法示意图
(3)辐照处理
辐照技术是用电离辐射与物质相互作用产生的物理化学等效应的一门新技术,利用高能射线与物质相互作用,在短时间内把能量传递给氧化铝,使氧化铝表面发生电离和激发变化,产生各种效应,从而达到氧化铝粒子的改性。例如,紫外处理的纳米氧化铝粉体粒子,分散性能够得到较大程度的改善。
(4)其它方法
实际上,在纳米粉体分散方面可用到物理修饰方法很多,如表面沉积、表面化学镀等,往往形成氧化铝基的复合材料,提高纳米粒子分散性的同时,也在一定程度上掩盖了纳米粒子本身特性。
2、化学修饰方法
纳米氧化铝表面残留部分羟基及剩余电荷,利用这种性质可有目的地选择改性剂使之进行化学反应,改变氧化铝表面的结构和状态,达到表面改性的目的。纳米氧化铝表面化学修饰常见的方法有以下几种:偶联剂法、接枝法、接枝一包覆法。
(1)偶联剂法
纳米氧化铝粒子表面能较高,与表面能比较低的有机体系亲和性差。当两者共混时,容易形成相分离。解决方法通常采用偶联技术。偶联剂一般是双功能基团的化合物,可同时与无机物和有机物反应,当偶联剂处理时,其一端与氧化铝表面的羟基结合,另一端与分散介质作用。常用于纳米氧化铝表面处理的偶联剂有硅烷偶联剂、钛酸酯偶联剂等。

钛酸酯偶联剂法方法示意图
(2)接枝法
纳米氧化铝的表面存在活性的羟基,以羟基作为接枝反应的活性点,接枝油溶性基团,接枝物一般为小分子,本质上偶联处理也等同于接枝。该方法优点是接枝的量可以控制,效率较高。
常见的接枝小分子有硬脂酸、4,4 - 二苯基甲烷二异氰酸、甲基 - 2,4 - 二异氰酸酯等。

接枝法示意图
(3)接枝一包覆法
接枝一包覆法先通过接枝或偶联技术在纳米氧化铝表面形成一层有机物(多为小分子),然后再用引发剂使单体在粒子表面有机层上接枝聚合,最后形成以氧化铝为核,聚合层为壳层的无机一有机“核一壳”式结构。接枝一包覆法的优点是壳层厚度可以通过有机物加入量来控制。

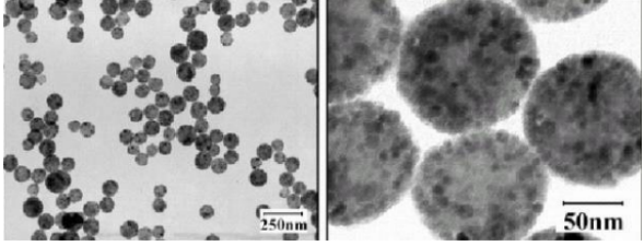
纳米氧化铝微观形貌
(形成以氧化铝为核,聚合层为壳层的无机一有机“核一壳”式结构)
我们可以提供科研实验中的蛋白、磷脂、PEG、透明质酸、环糊精、碳纳米管、金纳米粒子、金纳米棒、金纳米线、金纳米骨头、金二氧化硅核壳结构、四氧化三铁纳米粒子、铂纳米线、碳纳米管-金纳米粒子复合物、量子点、二氧化硅纳米粒子、石墨烯、二维MOS2、树枝状化合物、其他聚合物和贵金属纳米等。
相关定制列表
Si衬底上生长了Al2O3薄膜
石英玻璃衬底上沉积了Al2O3光学薄膜
含氟聚合物表面修饰法制备了高疏水性纳米Al2O3薄膜
泡沫镍上负载锐钛矿相的TiO2薄膜
不同波长泵浦的掺铒Al2O3薄膜
石英基底上制备Al2O3:Er3+/Yb3+薄膜
纳米AL2O3薄膜包裹的碳-铝尖晶石
金刚石表面涂覆TiO2/Al2O3薄膜
Fe-Cr-Ni合金基片上沉积Al2O3薄膜
不锈钢基体上制备Al2O3薄膜
Fe-Al/Al2O3陶瓷基复合材料
Fe3Al-Al2O3陶瓷复合涂层
孔径为3-5μm的α-Al2O3陶瓷管
(Ce-TZP)-Al2O3陶瓷粉末
ZrO2-3Y2O3-2Al2O3陶瓷材料
黑色和白色Al2O3薄壁陶瓷
镀铜Al2O3颗粒
镀镍/镍包纳米Al2O3颗粒
金属铜-氧化铝纳米复合材料(Al2O3-Cu)
Fe3Al/Al2O3复合材料
TiN-Al2O3纳米复合材料
Ti3SiC2/Al2O3复合材料
Mo/Al2O3复合材料
Al-Si-Al2O3复合材料
Al-Si3N4-Al2O3复合材料
TiC/Cu-Al2O3复合材料
PS-纳米Al2O3粒子纳米复合材料
Ti-Al/TiC+Al2O3复合材料
COF-5/α-Al2O3材料;α-Al2O3陶瓷表面生长三维共价有机框架材料
MgAlON-Al2O3复合材料
Cr对Fe-Al/Al2O3复合材料
甲基丙烯酸甲酯(MMA)-纳米氧化铝(Al2O3)粒子(PMMA/Al2O3)
纳米Fe2O3-Al2O3复合材料
纳米β分子筛/Al2O3复合材料
TiC/Cu-Al2O3复合材料
TiAl/Al2O3复合材料
PVC/纳米Al2O3复合材料
W-Mo-Cr-Al2O3复合材料
Al2TiO5-SiO2-Al2O3复合材料
MoSi2/Al2O3陶瓷复合材料
Fe2O3(CoO)/Al2O3纳米复合粉末
碳纳米管/Al2O3陶瓷复合材料
Y2SiO5/Y2O3-Al2O3-SiO2玻璃陶瓷层/SiC层为碳/碳复合材料
β-Y2Si2O7纳米线(β-Y2Si2O7 NMs)
Al2O3掺杂SiC陶瓷
纳米空洞的YSZ / Al2O3多层膜
氧化锆(YSZ)/氧化铝复合薄膜
Pt/m-Al2O3单原子催化剂
高分散α-Al2O3纳米片
Al2O3陶瓷材料
(Al2O3+SiC)增强铝基复合材料
掺杂MgO的Al2O3陶瓷材料
掺杂石墨颗粒的Al2O3陶瓷材料
掺杂尖晶石的Al2O3陶瓷材料
NiO/Al2O3陶瓷材料
CuO/Al2O3陶瓷材料
ZrO/Al2O3陶瓷材料
亚微米Al2O3颗粒增强Al基复合材料
LiTaO3/Al2O3陶瓷复合材料
聚氨酯(PU)/Al2O3纳米复合材料
葡聚糖修饰的Al2O3纳米颗粒
壳聚糖包裹的介孔Al2O3纳米颗粒
半乳糖包裹的Al2O3纳米颗粒
透明质酸包裹的Al2O3纳米颗粒
聚苯乙烯包Al2O3微球,粒径100±50 nm
氨基修饰的介孔Al2O3纳米颗粒
羧基修饰的Al2O3纳米颗粒
叠氮修饰的Al2O3纳米颗粒
炔烃修饰的Al2O3纳米颗粒
DBCO修饰的Al2O3纳米颗粒
羟基修饰的Al2O3纳米颗粒
生物素修饰的Al2O3纳米颗粒(Biotin@Al2O3)
绿色荧光素标记的Al2O3纳米颗粒(FITC@Al2O3)
红色罗丹明标记的Al2O3纳米颗粒
CY3菁染料标记的Al2O3纳米颗粒
CY3菁染料标记的Al2O3纳米颗粒
CY5菁染料标记的Al2O3纳米颗粒
CY5.5菁染料标记的Al2O3纳米颗粒
CY7菁染料标记的Al2O3纳米颗粒
以上内容来自小编zzj 2021.4.13




德尔塔官方微信